Rehabilitación con Implantes y Carga Inmediata
Implantología y Prótesis Capitol
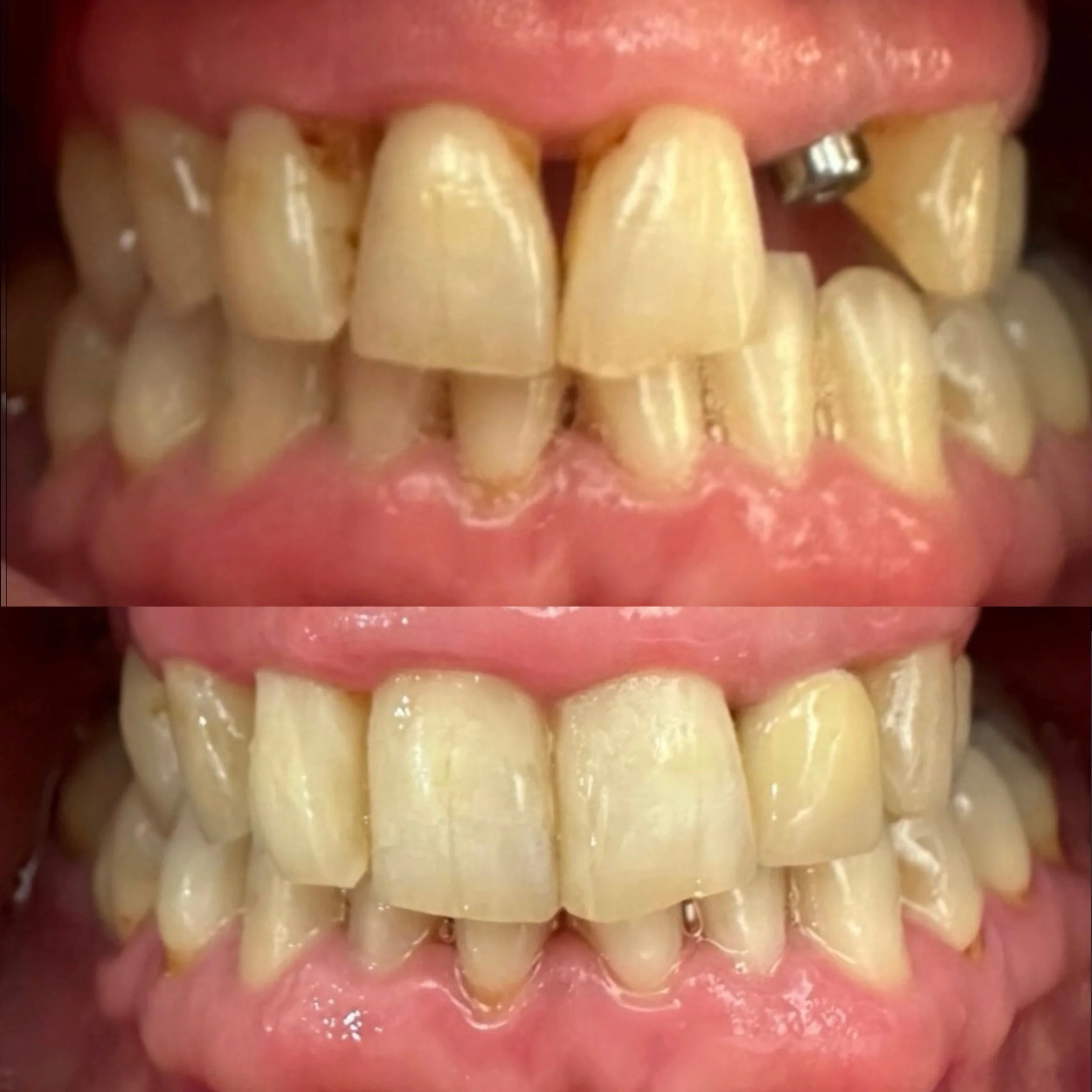
El Reto: El paciente presentaba una situación de colapso dental avanzado, con ausencias de piezas fundamentales en el sector superior y un deterioro generalizado de la estética y la masticación. La pérdida de soporte dental provocaba una sonrisa hundida y una falta de funcionalidad que afectaba a su calidad de vida diaria.
La Solución: Realizamos un tratamiento integral de implantología. Tras la colocación de implantes dentales de alta precisión, diseñamos una prótesis híbrida fija que no solo sustituye los dientes perdidos, sino que también recupera el volumen de la encía y los tejidos blandos mediante cerámica rosa de alta estética. Este sistema permite una fijación total y una apariencia extremadamente natural.
El Resultado: Una transformación radical tanto estética como funcional. Se ha restaurado la línea de la sonrisa y el soporte labial, devolviendo al paciente una mordida segura y una estética rejuvenecida. El resultado es una boca sana y una sonrisa completa que se integra perfectamente con las facciones del rostro.

