Descubre los resultados de nuestros tratamientos destacados en implantología, ortodoncia y estética dental.
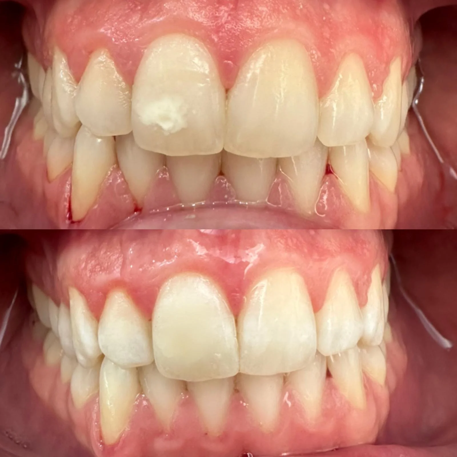
Blanqueamiento dental en paciente tras ortodoncia
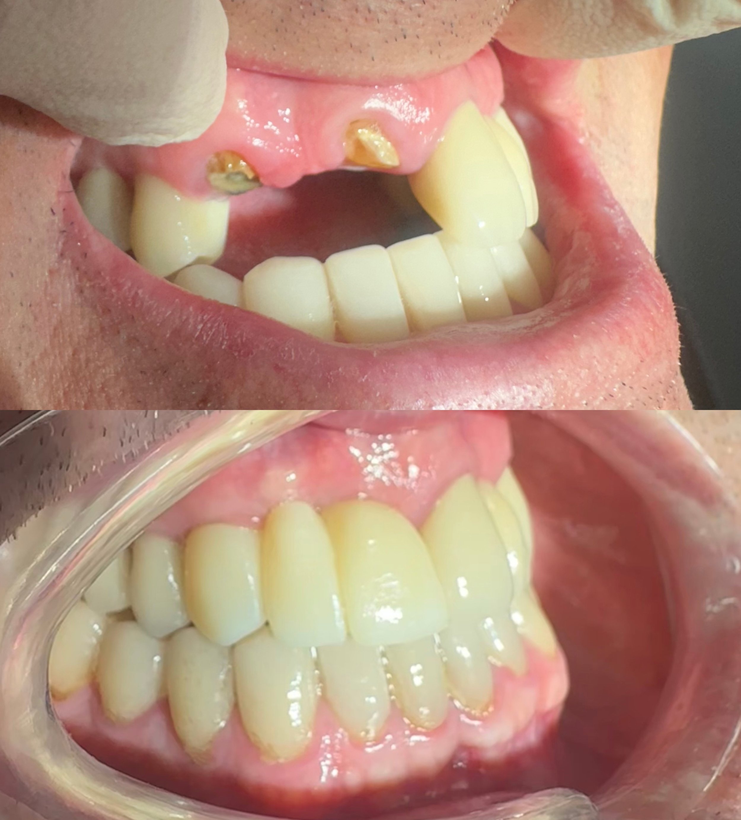
Implantología Avanzada
Eliminación de manchas blancas
Blanqueamiento Dental Profesional
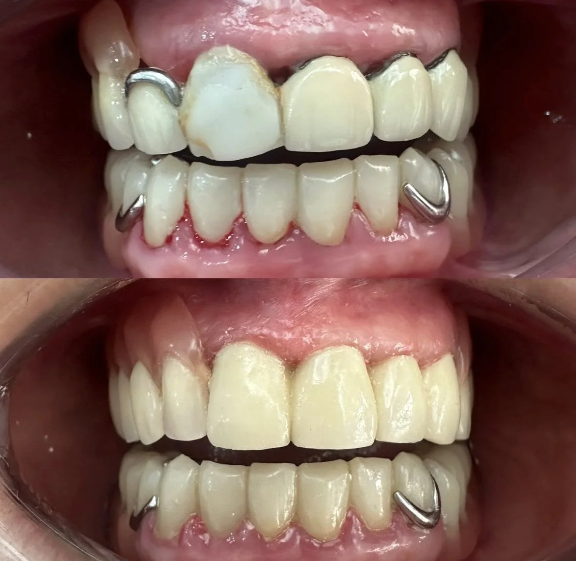
Rehabilitación Estética Integral
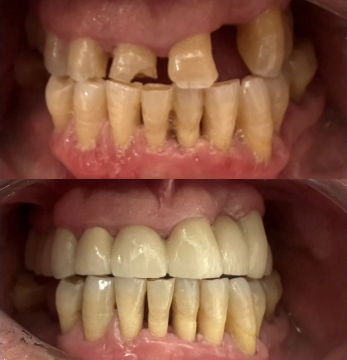
Rehabilitación completa superior
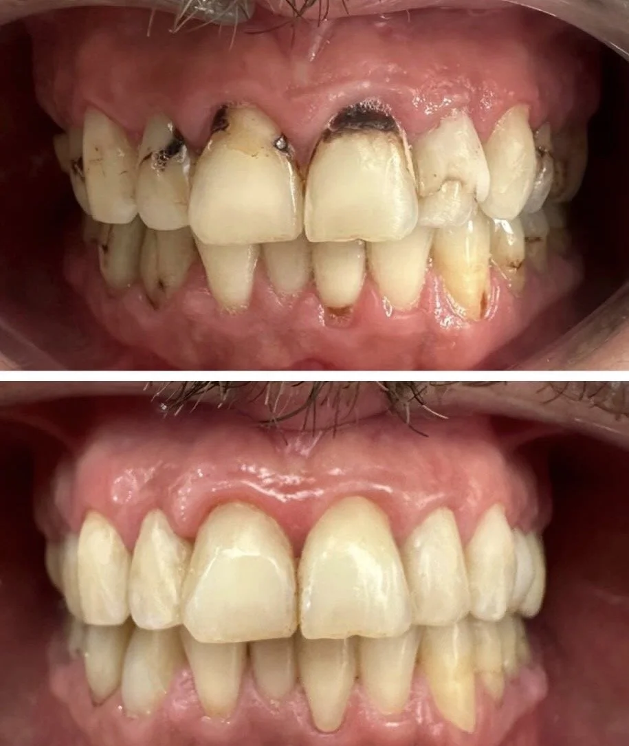
Rehabilitación Oral y Estética
Blanqueamiento Dental en Clínica

