Rehabilitación Estética Integral
Estética y Restauradora Capitol
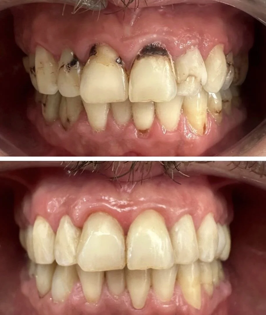
El Reto: El paciente presentaba un deterioro severo en el sector anterior, con lesiones de caries avanzadas en el cuello de los dientes y filtraciones en restauraciones antiguas. Además de comprometer la salud bucodental, estas afecciones generaban manchas oscuras y una pérdida de la estructura dental, afectando gravemente la estética y la autoestima del paciente.
La Solución: Llevamos a cabo un saneamiento completo de las piezas afectadas, eliminando el tejido dañado y realizando una rehabilitación con restauraciones cerámicas de alta estética. Este tratamiento permite devolver la forma, el color y la fuerza original a cada diente, sellando las piezas para protegerlas frente a futuras patologías y logrando una integración perfecta con el tejido gingival (la encía).
El Resultado: Una sonrisa completamente sana, funcional y rejuvenecida. Hemos logrado eliminar las manchas oscuras y las irregularidades, consiguiendo una línea de la sonrisa armónica y luminosa. El paciente no solo ha recuperado su salud oral, sino también la confianza para sonreír sin ningún tipo de restricción.

