Rehabilitación Oral y Estética
Prótesis Removible por Rehabilitación Fija
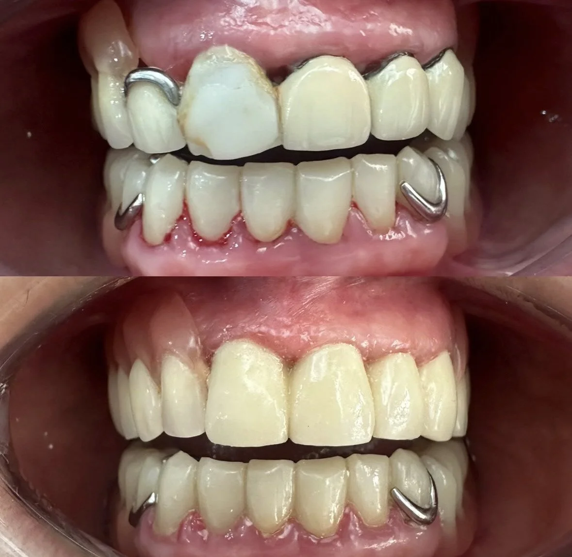
El Reto: El paciente utilizaba una prótesis removible antigua con ganchos metálicos visibles, la cual resultaba antiestética y poco confortable. Además, presentaba un desgaste asimétrico en las piezas naturales restantes y desajustes en las coronas anteriores, lo que restaba armonía y naturalidad a su sonrisa.
La Solución: Realizamos una rehabilitación fija mediante coronas de cerámica de última generación. Este tratamiento permitió eliminar los ganchos metálicos antiestéticos y sustituir las antiguas prótesis por piezas fijas que imitan a la perfección el color y la morfología del diente natural. Se trabajó meticulosamente en el diseño de la línea de la sonrisa para lograr una simetría perfecta y un ajuste gingival óptimo.
El Resultado: Una sonrisa completamente renovada, fija y segura. El paciente ha ganado en comodidad al eliminar las estructuras removibles y ha recuperado una estética dental joven y saludable. El resultado final es una dentadura integrada, sin elementos metálicos a la vista y con una funcionalidad plena.

