Eliminación de manchas blancas
Microinfiltración de Resina.
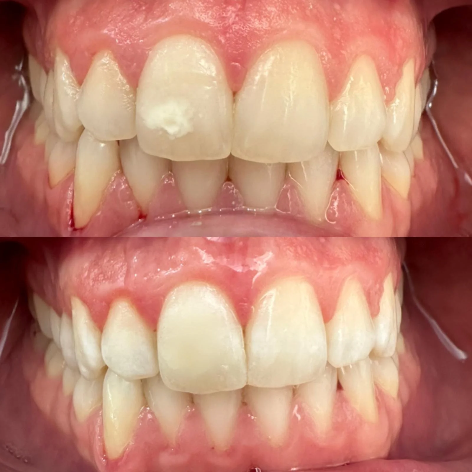
El paciente presentaba una mancha blanca antiestética en el incisivo central superior (incisivo principal), originada habitualmente por una desmineralización del esmalte o una hipoplasia. Este tipo de imperfecciones suelen destacar negativamente en la sonrisa, ya que rompen la uniformidad del color dental.
La Solución: Realizamos un tratamiento de microinfiltración de resina (tecnología Icon). Esta técnica es mínimamente invasiva: no requiere el uso de torno ni anestesia. El procedimiento consiste en infiltrar una resina fluida en la porosidad del esmalte dañado para igualar el índice de refracción de la luz y hacer que la mancha desaparezca visualmente.
El Resultado: Se logró mimetizar por completo la mancha con el resto del diente, devolviendo la homogeneidad y el brillo natural a la pieza. El paciente obtuvo una sonrisa impecable en una sola sesión, preservando íntegramente su estructura dental sana.

