Implantología Avanzada
Recuperando la Función y la Estética
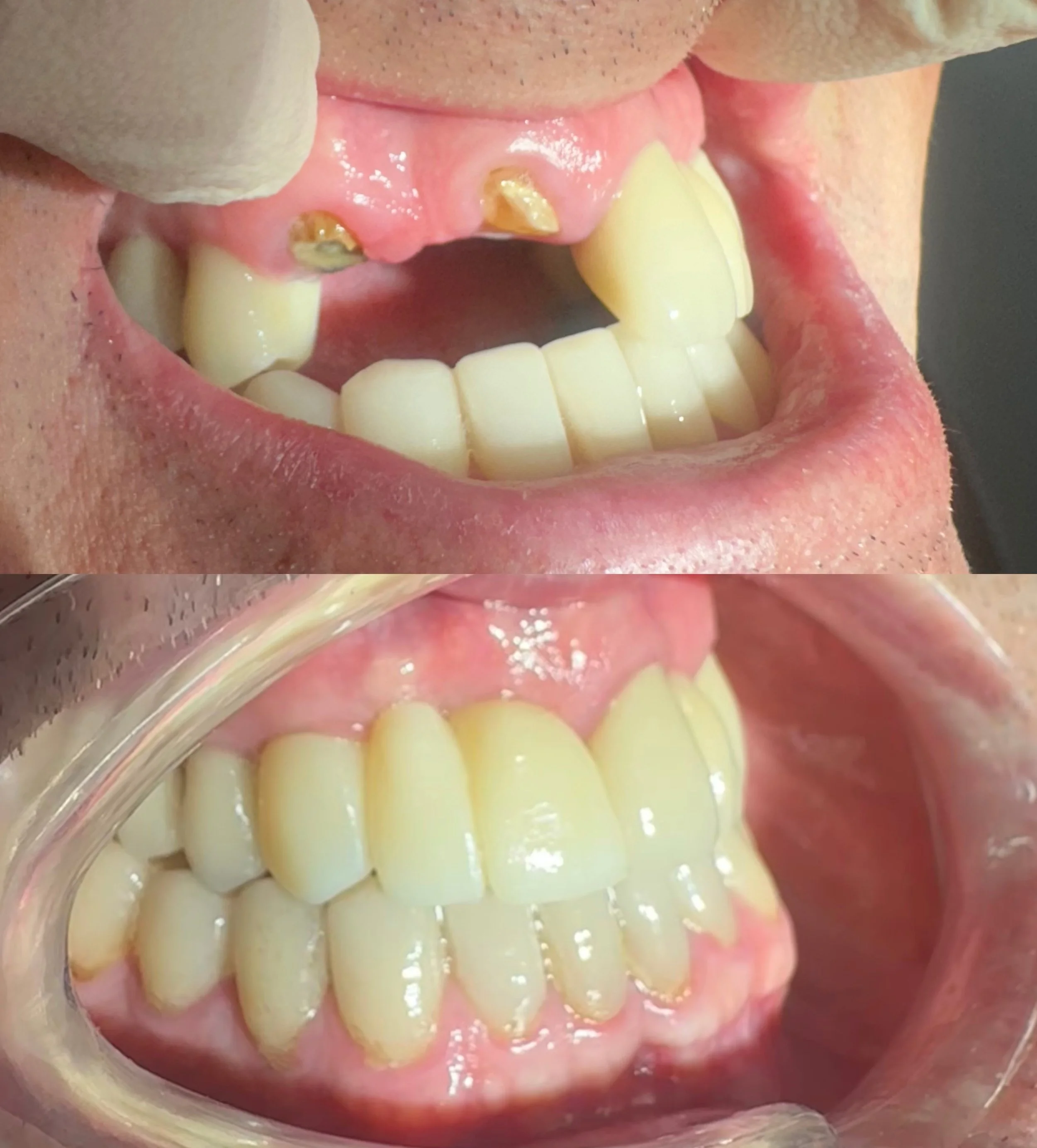
El paciente presentaba una ausencia de piezas dentales clave en el sector anterior (frontal), junto con un deterioro avanzado de las estructuras remanentes. Esta situación no solo comprometía gravemente la estética de su sonrisa, sino que dificultaba la correcta masticación y afectaba a su seguridad personal en el día a día.
La Solución: Tras un estudio radiográfico 3D, procedimos a la colocación de implantes dentales de alta gama para sustituir las raíces perdidas. Sobre ellos, diseñamos y colocamos una prótesis fija (puente sobre implantes) fabricada en materiales biocerámicos, que imitan a la perfección la dureza y el color de los dientes naturales, asegurando una integración total con la encía.
El Resultado: Una rehabilitación completa, estable y duradera. El paciente ha recuperado la funcionalidad total de su mordida y una sonrisa armónica que rejuvenece su rostro. Gracias a los implantes, hemos logrado una solución fija que evita el uso de prótesis removibles, mejorando drásticamente su calidad de vida.

